Luxación de rótula
Aunque ya
he publicado otras entradas sobre luxación de rótula, es una de las cirugías
más frecuentes que solemos hacer los traumatólogos y junto con la rotura de ligamento cruzado anterior son las
dos cirugías más frecuentes que veremos en ortopedia canina.
Como ya se
ha publicado en numerosas ocasiones puede ser luxación lateral (más frecuente
en animales de razas grandes) o luxación medial (más frecuente en animales de
razas pequeñas, y hay cuatro grados de luxación según el grado de torsión de la
cresta tibial y la capacidad de la rótula de volver o no al surco del fémur.
Respecto a
las opciones de tratamiento hay varias posibilidades; Generalmente se empieza
por una profundización del surco en fémur, luego se hace una transposición de
la cresta tibial y finalmente puede hacerse una superposición del retináculo
(es decir, de la cápsula articular) y en algunos caso pueden emplearse también
suturas anti rotacionales.
Aquellos
que sólo intentan hacer superposición del retináculo y suturas anti rotacionales
pueden tener éxito inicial, pero en unos 10 días los tejidos blandos ceden y el
problema vuelve a aparecer porque la rótula es sólo parte del problema y es imprescindible
realinear bien el cuádriceps con la tibia o todo volverá a luxarse, por lo
tanto se deduce que, de todo lo anterior, lo más importante es hacer una
transposición de la cresta tibial para que no haya tensiones que desplacen la
rótula.
Respecto al
caso que complementa este artículo, no es especialmente complicado, pero representa muy bien lo que solemos encontrar en el día a día, y nos servirá para recordar la necesidad de operar a este tipo de pacientes.
Se trata de una perrita mestiza de unos 3
años y 8 kg con una inestabilidad de su rodilla izquierda, de grado 2-3, que le
ocasiona una cojera sin dolor pero muy evidente.
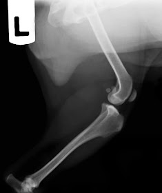
Veamos el
estudio radiográfico previo a la cirugía:
No es una
cojera especialmente dolorosa, ni hay un alto grado de torsión de los huesos,
además al sedar al paciente y tensar las extremidades la rótula vuelve a su
sitio, pero es evidente que hay un pequeño desplazamiento del cuádriceps sobre
la cresta tibial que provoca la luxación de rótula.
Se prepara
la cirugía y al ver el “surco” del fémur
aparece la primera sorpresa:
El fémur
distal es prácticamente plano, no hay apenas surco que pueda contener la
rótula.
Realizamos una osteotomía en cuña para profundizar el surco del fémur y
lograr una depresión central donde pueda alojarse la rótula.
Ahora hemos
pasado de un surco femoral prácticamente plano a otro que sí puede contener la
rótula. El siguiente paso es realinear todo mediante una transposición de la
cresta tibial.
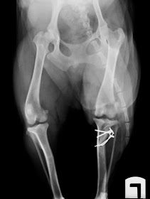
Se ha
cortado la cresta tibial y puesto que la luxación es lateral se ha desplazado
medialmente y fijado en su nueva posición con dos agujas de Kirschner y un
cerclaje.
*Las
flechas rojas señalan la posición inicial de la cresta tibial y el
desplazamiento hacia la nueva posición logrado con la transposición de la
misma.
Luego se
comprueba una vez más que todo está bien alineado y no hay tensiones al
flexionar la rodilla, entonces es el momento de reajustar la cápsula articular
que estará distendida por las luxaciones repetidas. Puede recortarse lo que
sobra o puede superponerse una parte sobre otra para reforzar la sujeción,
haciendo una superposición del retináculo, y finalmente se cierra por planos y
se hacen las radiografías de control.
Siento que
las imágenes no estén todo lo bien posicionas que debieran, pero especialmente
en la última se aprecia muy bien el corte en la cresta tibial y su sujeción con
agujas y cerclaje.
En el post
operatorio de este paciente se prescriben antibióticos para unos días,
antiinflamatorios para unas semanas y también paseos con correa corta y
movilización pasiva de la extremidad para favorecer la rehabilitación y acortar
la recuperación de la rodilla.
El
pronóstico a largo plazo suele ser muy bueno o excelente, principalmente si la
cirugía se realiza en estas primeras fases cuando todavía no está roto el
ligamento cruzado ni existe un alto grado de artrosis.
Lamentablemente en
muchas ocasiones los veterinarios cometen el error de retrasar la cirugía hasta
que el paciente ya no puede más, cuando la artrosis ya ha invadido la
articulación y aunque la rótula vuelva a su posición de origen ya poco podrá
hacerse para lograr una buena recuperación de esa rodilla.






