sábado, 26 de noviembre de 2016

Fractura de cúbito


Fractura de cúbito


Las fracturas de cúbito a nivel distal suelen ir asociadas a fracturas de radio, y salvo que se trate de razas grandes, al solucionar las fracturas de radio el cúbito termina por soldar solo. En el caso de las fracturas de cúbito a nivel proximal, puede ocurrir que el radio también esté fracturado (suelen ser fracturas complejas), también puede ocurrir que el radio esté luxado (Fractura de Monteggia) ó puede ocurrir que sólo se haya fracturado el cúbito, que es el caso que nos ocupa en este artículo.


El cúbito a nivel proximal soporta toda la tracción del tríceps, y en caso de fractura es imprescindible hacer una buena fijación interna para contrarrestar la tensión, de modo que en este caso simplemente con un vendaje y reposo dudo que pueda lograrse una buena cicatrización.

Tradicionalmente este tipo de fracturas se solucionaban con una ó dos agujas intramedulares y un cerclaje como banda de tensión, que resulta imprescindible  siempre que hay que neutralizar las fuerzas de tracción de cualquier tendón.

Recientemente hay cada vez más profesionales que prefieren colocar una placa en la cara medial porque soporta mejor las fuerzas de tensión y se logra una reducción más perfecta, aunque esta técnica está condicionada por el tamaño del paciente.

Nuestro paciente en esta ocasión es un Chihuahua de apenas 1,5kg que después de un paseo con niños pequeños cojea de su extremidad anterior derecha.

Comenzamos el estudio radiográfico:    

fractura de cúbito perro



fractura de cúbito



Es evidente que el paciente presenta una fractura conminuta de Olécranon en el cúbito proximal. Aunque en las imágenes radiográficas pueda verse magnificado el tamaño de los huesos hay que recordar que se trata de un paciente muy pequeño  y el tamaño real de los fragmentos es el siguiente:


fractura de cúbito perros


    Es decir, tenemos una fractura con un fragmento de menos de un centímetro de largo para fijar en una zona que no llega a los tres milímetros de ancho. En este caso no es posible colocar una placa, y la única opción es el tratamiento clásico, siendo muy cuidadosos al pasar la aguja hacia cúbito distal, pues el puente de paso es bastante estrecho y no debemos desviarnos de la línea media. Es cierto que se trataba de una fractura conminuta donde los fragmentos no encajan perfectamente, pero debido al pequeño tamaño del paciente sólo se pensó en hacer una reducción funcional y estable.  

Veamos las radiografías de control post operatorio:    


fractura de cúbito perros

fractura de cúbito perros


 Me habría gustado que la aguja entrase un poco más en el canal del cúbito, pero aunque sólo tiene un milímetro de diámetro era muy difícil avanzar dentro del hueso. A pesar de todo se logra una reducción muy estable y la recuperación fue muy buena, de modo que a la semana el paciente ya estaba haciendo una vida normal, saltando incluso más de lo que me gustaría. 
La completa curación radiológica tardará un poco más, pero los propietarios están muy satisfechos, no quieren exponer a su paciente a más pruebas y ya veremos si me dejan hacer más radiografías de control.


domingo, 23 de octubre de 2016

Luxación de rótula de grado IV




Luxación de rótula de grado IV


Aunque ya he publicado otros artículos sobre la luxación de rótula, se trata de una patología muy habitual en perro de razas pequeñas y solemos verla con frecuencia en la clínica diaria.

Para definir el grado de la luxación hay una escala con cuatro grados, siendo el último el más grave, y corresponde a una luxación completa de rótula en la que no podemos recolocar la rótula en el surco femoral, debido al gran desplazamiento que presenta y a la rotación de los huesos.

Es también muy frecuente que ésta patología sea bilateral, como en el caso que nos ocupa, y en cada extremidad es necesario aplicar las técnicas necesarias para reponer la rótula al surco femoral, aunque no siempre son las mismas en todos los casos.

Nuestra paciente es una hembra de Pomerania, de un año de edad y tres kg de peso que presenta una luxación bilateral de rótulas, de grado IV, y que apenas puede caminar con sus extremidades posteriores totalmente rotadas medialmente.

Veamos las primeras imágenes radiográficas:


Luxación bilateral rótula



luxación rótula grado IV



Luxación rótula grado IV






Es evidente la luxación bilateral de rótulas, pero si nos fijamos un poco más, la derecha está un poco más cerca del fémur y el grado de rotación de los huesos es menor.

En este tipo de patologías tan agresivas, a pesar de que sean bilaterales, está indicado comenzar el tratamiento por sólo una de ellas, y cuando se recupere un poco abordar la otra cirugía, en lugar de intervenir bilateralmente. (Sería distinto si fuese una fractura bilateral, en la que es necesario intervenir ambas extremidades a la vez)

Puesto que la extremidad derecha tenía mejor pronóstico y necesitábamos un apoyo temprano se empezó operando dicha extremidad con las técnicas habituales de profundización del surco femoral, transposición de la cresta tibial, superposición del retináculo (cápsula articular) y suturas antirrotacionales.



luxación rótula grado IV en perro


Puesto que la torsión del fémur y la rotación de la tibia eran menores se logró resolver la luxación y poco a poco el paciente fue apoyando cada vez más en esa extremidad.

En la revisión de control, al mes de la cirugía se aprecia que todo va bien, y el paciente ha mejorado mucho su marcha, pero sólo del lado derecho.


luxación de rótula grado IV en canino


Al planificar  la cirugía para el lado izquierdo es fácil comprender que no será posible con las técnicas habituales, y necesitaremos una osteotomía del fémur distal, para corregir esa curvatura, pero además debe rotar, para realinear la rodilla.

Posteriormente habrá que fijar los fragmentos del fémur con una placa y tornillos, pero como es una osteotomía muy distal, utilizaremos una placa en “L” ó en forma de palo de golf, que permite colocar más tornillos en el fragmento distal, y fijar mejor el hueso.


Placa en palo de golf

En algunos casos es necesario también hacer osteotomía de la tibia proximal, pero suelen ser casos todavía más extremos, y en esta ocasión se pensó que no sería necesario.

luxación de rótula grado IV



El post operatorio en estos animales suele ser lento, y hay que administrar antiinflamatorios bastante tiempo, pues cambios tan drásticos en los huesos se reflejan en tensiones de los músculos y ligamentos, pero poco a poco los tejidos blandos van cediendo, el paciente va ganando flexibilidad y confianza, y con un buen control de la actividad física y del dolor, el paciente debería recuperar la normal funcionalidad de sus rodillas.


jueves, 1 de septiembre de 2016

Pincho Moruno

Pincho Moruno


Aunque éste es un blog de traumatología veterinaria, en esta ocasión quiero compartir un caso especialmente atípico de cirugía torácica.

Denominamos pinchos morunos a una preparación culinaria consistente en unas varillas o palitos de madera, que atraviesan unos trozos de carne, sóla o con verduras, y que se suelen preparar asados. 
Es un plato muy popular y admite mil combinaciones, pero su denominador común son los palitos que atraviesan la carne.



Hace ya algún tiempo, los propietarios de nuestro paciente, un Yorkshire macho, de 5 kg y 3 años, estaban preparando unos pinchos morunos de pollo, y en un descuido de sus dueños, el animal robó uno de ellos, y para que no pudiesen quitárselo, trató de tragarlo entero. 
Lógicamente no pudo engullir todo el palo, se atragantó, estuvo tosiendo, el palo se partió, y el animal trató de expulsarlo. 
En un primer momento los dueños sólo encontraron una mitad del palo, pero aparentemente su perro parecía que estaba bien, y no le dieron más importancia.

Tres días después, el animal empieza a dar signos de que no se encuentra bien, pero ese día están ocupados y lo llevan al veterinario al cuarto día. 
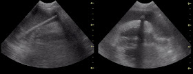
Tras una exploración inicial, se encuentran síntomas respiratorios y cardíacos, y se empieza el estudio por una radiografía de tórax, en la que principalmente se aprecia un corazón grande, globoso y con líquido alrededor.

En el estudio ecográfico salta la sorpresa, al apreciarse una estructura lineal en el pericardio del paciente.

ecocardiografia corazon perro



He subido el vídeo, para que lo podáis apreciar de un modo más directo.





En ese momento los dueños recuerdan el episodio del pincho moruno y todo parece indicar que el trozo del palo que se partió ha atravesado el pericardio y ha llegado al corazón.

La sorpresa es tremenda, pero está claro que para que el animal tenga posibilidades de curación, la única solución posible es tratar de extraer ese cuerpo extraño, y  preparamos todo para una cirugía torácica.

Expongo la foto del momento de la extracción del palo:

palo en pericardio perro


Y para completar el artículo, también he subido el vídeo del momento:




Efectivamente se trataba del trozo del pincho moruno que se partió días atrás y había llegado hasta el corazón. Parece inverosímil que de un perro de 5 kg pueda extraerse un palo de 11cm del pericardio y el animal siga vivo, pero eso fué lo que ocurrió, aunque no podemos explicar cómo.

  
Una vez que el palo se rompe en esófago, sólo hay dos opciones posibles, la primera sería que el palo atraviese directamente desde el esófago hasta el corazón, y la segunda posibilidad sería que el palo llegue al estómago y desde ahí atraviese el diafragma y vaya hacia el corazón.

Ambas opciones son posibles desde un punto de vista físico, pero muy difíciles de justificar desde un punto de vista fisiológico, pues el perro estuvo relativamente bien tres días, y una herida en el esófago no perdona tres días, y si fuese desde estómago seguramente habría peritonitis.

Entre los veterinarios que trabajan con ganado vacuno, hay casos de vacas que se tragaron un clavo y luego migró desde el retículo a la base del corazón, sin producir peritonitis, pero sí graves alteraciones cardíacas que luego se hacen patentes tras el sacrifico del animal.

Personalmente creo que nuestro yorkshire pudo pasar por una situación similar, pero es más probable que el palo migrase desde el esófago, pues era un palo fino y afilado que sólo produciría un pequeño desgarro que la musculatura del esófago podría sellar, y luego, al llegar al pericardio se produjo una gran cantidad de líquido en un intento de englobar ese cuerpo extraño y preservar la musculatura cardíaca.

En cualquier caso, nuestro paciente se encuentra bien, y el caso ha pasado de ser una situación dramática, a una historia que vuelve cuando comentamos casos curiosos de la clínica.


Finalmente, si alguien tiene alguna opinión que aportar, o puede contar algún caso parecido, le ruego que lo haga en la sección de comentarios, al final de este artículo.


sábado, 18 de junio de 2016

Fractura de cúbito y radio muy oblicua



Fractura de cúbito y radio muy oblicua




Nuestro paciente es un cruce de cocker spaniel, hembra de 11 años y 12 kg que ha sufrido un atropello y presenta una cojera de su extremidad anterior derecha.

Al hacer el estudio radiográfico se obtuvieron las siguientes imágenes:



fractura de radio canino

fractura de cúbito y radio canino





Se trataba de una fractura diafisaria y conminuta del radio, con una fractura oblicua en cúbito distal. 
Al estudiar la radiografía vemos que hay muchas líneas oblicuas muy largas, casi longitudinales, sobre la superficie dorsal del radio y será difícil colocar una placa ahí para neutralizar todas las líneas de fractura.


Además se trataba de un perro ya un poco mayor, y los propietarios no querían someterlo a una cirugía, por lo que inicialmente se le colocó un vendaje Robert Jones, a la espera de que se decidiesen a hacer algo.


Casi dos semanas después finalmente comprenden que no va a cicatrizar adecuadamente sin una intervención quirúrgica, y nos dan permiso para intervenir al paciente.


La idea inicial era intentar hacer una buena reducción con compresión lateral de los fragmentos y colocar una placa en cara medial del radio. De ese modo se neutralizarían las líneas de fractura a la vez que se lograba una buena fijación.


Sabemos que las placas en cara medial tienen una gran resistencia, pues al ir colocadas de perfil es mucho más difícil que puedan romperse, y hay estudios que demuestran que una placa de 2,7 mm en la cara medial del radio de un perro grande, tiene la misma resistencia que una placa de 3,5 mm en la cara dorsal del mismo hueso.


Para nuestro paciente bastaría con una placa para tornillos de 2,4 mm, pero al intentar hacer la compresión lateral ya había un callo inicial entre algunos fragmentos, y la aposición de los mismos no era perfecta sin eliminar ese callo inicial, por lo tanto puesto que ya estaba empezando a cicatrizar decidí dejar los fragmentos como estaban y sin removerlos mucho fui colocando tornillos que me permitieran una buena sujeción de todo y aportasen estabilidad al hueso.


Tras la cirugía se realizan las correspondientes radiografías de control:



placa y tornillos radio canino



placa y tornillos radio canino




La resolución es simple pero eficaz, la alineación es buena, la estabilidad también  y el paciente empezó a apoyar a los dos días.  
Si se realiza una restricción del ejercicio y un buen control post operatorio el pronóstico es favorable, y debería cicatrizar sin demasiados problemas.




domingo, 22 de mayo de 2016

UN CASO PARA PENSAR



Un caso para pensar



En esta ocasión voy a planear el caso desde un punto de vista diferente, para intentar que sea más interactivo, de modo que al final dejaré un tiempo para que las respuestas de los lectores puedan resolverlo.


Nuestro paciente es un gato recogido de la calle, con una extraña deformación de su extremidad anterior derecha:


no unión en gato



A pesar de su aspecto, en ocasiones, cuando va despacio apoya esa extremidad en el suelo, además el animal no muestra apenas signos de dolor y camina a tres patas cuando va deprisa. 
Tiene sensibilidad en los dedos y el "codo" formado a mitad del antebrazo no es totalmente rígido sinó que tiene cierta movilidad.

A la exploración clínica parece evidente que ese animal ha sufrido una fractura antigua de cúbito y radio, que no llegó a cicatrizar de un modo fisiológico, y se ha formado una no unión ósea.

Para confirmar nuestra hipótesis inicial se realiza el correspondiente estudio radiográfico:



no unión cúbito y radio en gato



no unión ósea en gato



Las radiografías confirman el diagnóstico inicial de fractura antigua de cúbito y radio con no unión atrófica de ambos huesos. 

Hay una deformidad importante por un plegamiento dorsal de los fragmentos distales de cúbito y radio junto con todas las estructuras de la mano, que no puede colocarse en posición fisiológica, ni siquiera con el paciente sedado, y que hace que en la última radiografía la mano salga en una posición tan extraña.

A pesar del pequeño tamaño de los fragmentos distales, se intentó hacer una resolución de la fractura, eliminando la zona de no unión (muy poco a nivel distal porque no hay espacio para colocar tornillos, y bastante más a nivel proximal), reactivando los bordes y añadiendo injerto de esponjosa en la fractura con la esperanza de que pudiese cicatrizar.

El mayor problema no fué realinear los huesos sinó lograr que los retraídos ligamentos pudiesen volver a una posición fisiológica, pues en la zona dorsal,  por donde pasan los ligamentos extensores había una importante retracción de los mismos que dificultaba mucho posicionar adecuadamente la extremidad.

Para mantener la reducción se empleó una placa de osteosíntesis para tornillos de dos milímetros colocando en el radio dos tornillos en el fragmento distal, y cuatro tornillos en  el fragmento proximal. En el cúbito se puso una aguja de Kirschner intramedular para completar la fijación y compensar que en radio distal sólo se habían podido poner dos tornillos.


Veamos las radiografías de control post operatorio:

no unión ósea en gato

no unión ósea en gato



Aparentemente todo estaba relativamente bien. Confieso que al ver las radiografías de control me sentí bastante satisfecho y pensé que el caso no debería tener ya grandes problemas.

Pero  se trataba de un gato recogido de la calle, muy poco sociable y con un carácter bastante agresivo,  no era posible lograr hacer una rehabilitación adecuada, ni siquiera era fácil hacer un seguimiento del caso, por lo tanto simplemente se mantenía aislado en una jaula amplia, en las instalaciones de la protectora que lo había recogido.

La evolución fué lenta pero positiva. Poco a poco el animal comenzó a apoyar de nuevo su extremidad y empezó a cargar peso en ella. Se movía más por la jaula y comenzaba a tener algo más de tolerancia hacia los seres humanos.

No fué posible hacer un buen seguimiento del caso, pero desde la protectora comentaban que todo parecía ir bien. Finalmente, a los dos meses de la cirugía me comentan que el gato está apoyando menos y que parece que algo ya no va tan bien.


Traen al gato a revisión, y una vez sedado se obtienen las siguientes imágenes:



no unión de radio en gato

aguja en cúbito gato


Y ahora es cuando el caso pasa a vuestras manos. 

Enviadme todo tipo de comentarios sobre el caso intentando aportar vuestra opinión personal sobre que se hizo bien, que se hizo mal, dónde está ahora e problema y como seguiríais vosotros.

Publicaré los comentarios para que todos podamos valorarlos, y dentro de un mes, aproximadamente, os daré mi opinión.


Saludos a todos.


viernes, 29 de abril de 2016

Fractura antigua de fémur en gato




Fractura antigua de fémur en gato



Nuestro paciente es un gato recogido de la calle que lleva cerca de un mes con una fractura de fémur, y que nos trae una protectora local para ver: “… que se puede hacer”. 

Se trata de un macho adulto de unos 4,5 kg, con un grave acortamiento de los músculos de la extremidad posterior derecha, y una clara atrofia muscular, debido a la falta de apoyo.

Comenzamos el estudio radiográfico y se obtiene esta primera imagen:

fractura de fémur en felino



Era una imagen muy desconcertante, daba la sensación de que había desaparecido una parte del fémur, pero luego se realiza la otra vista radiográfica y empezamos a entender qué estaba pasando:


fractura de fémur en felino



Esta imagen sí permitía entender que había pasado. El paciente sufrió un taumatismo, probablemente un atropello, que produjo una fractura diafisaria y conminuta del fémur derecho, pero la retracción muscular en este caso no podía aproximar los fragmentos porque estaban muy desplazados y avanzaban en distintos planos.

Está claro que esa fractura no podría cicatrizar de modo natural, pero también hay otras consideraciones a tener en cuenta. Para empezar la retracción muscular después de tantos días había dejado la extremidad sensiblemente más corta. Además no debe subestimarse el daño muscular producido por los propios fragmentos. También hay que considerar las adherencias que se habrán formado y el daño iatrogénico que se producirá para lograr una reducción medianamente adecuada. 

Es evidente que los fragmentos no encajan y que la extremidad probablemente quedará más corta, pero debemos intentar dañar lo menos posible los tejidos blandos para que tenga alguna oportunidad de cicatrizar. Y con todas esas complicaciones se afrontó la cirugía.

Recuerdo que fue una pesadilla intentar la reducción y alinear los fragmentos, pero finalmente logré colocar una aguja intramedular para alinear el hueso y luego, a pesar del defecto óseo que quedaba, puse una placa de osteosíntesis para asegurar la reducción, aproximando sólo una cortical para minimizar la pérdida de longitud.


Veamos las radiografías de control post operatorio:


placa y tornillos en fémur de gato



placa y tornillos en fémur de gato



A nivel proximal había mucho espacio, pero a nivel distal aproveché todo el hueso posible. Como ya he comentado, para minimizar la reducción de tamaño del fémur se dejó un gran defecto parcial, que deberá formar nuevo hueso. Los fragmentos sueltos no se buscaron para no dañar más los tejidos blandos circundantes.


Puesto que se trata de un gato la cicatrización debería ser buena si no se permite saltar al paciente, y para ello la única forma posible es que permanezca en una jaula, hasta lograr la resolución de la fractura, que comprobaremos mediante control radiográfico.


En este caso, la protectora que tenía el gato decía que la evolución era buena y no necesitaba traer el gato a control, por lo tanto no tengo imágenes de la evolución de la fractura mes a mes, pero después de seis meses logré que me trajesen al animal y e hice las siguientes imágenes:


aguja intramedular en fémur gato



clavo intramedular fémur gato


Es sorprendente la capacidad que tienen estos animales para cicatrizar, se había creado nuevo hueso que casi cerraba completamente el defecto óseo, y el siguiente paso fue retirar la aguja de Kirschner intramedular.


clavo intramedular fémur gato



En este momento la cicatrización todavía no es completa, además la pierna es un poco más corta que  la otra, y la masa muscular todavía no está igualada en ambos muslos. Pero teniendo en cuenta la imagen de partida creo que el resultado final es claramente satisfactorio. 

Me gustaría poder aportar una nueva imagen ya de la curación definitiva pero el gato ha sido adoptado por una familia en el extranjero y probablemente no volveremos a verlo. Quiero aprovechar esta página para enviar un saludo a su nueva familia si alguna vez busca su historia y visita este blog.