Fractura del proceso lateral del cóndilo humeral
Las fracturas de húmero representan el 8% del
total de las fracturas que podemos ver en pequeños animales y casi la mitad de las fracturas de
húmero son fracturas de codo (43%).
En la mayoría de los casos se
producen como consecuencia de un traumatismo provocado durante una carrera, por
una caída, ó simplemente por un salto en animales jóvenes. Se clasifican en
fracturas no articulares (supracondíleas) y en articulares (condíleas e
intercondíleas)
Dentro de las fracturas condíleas
generalmente se ve más afectado el proceso lateral por la propia conformación
anatómica del codo, y puesto que todavía mucha gente se pregunta porqué, voy a
poner una imagen básica de un codo canino para explicar a los lectores profanos
la distribución de fuerzas en el codo.
Las superficies de contacto articular entre el
proceso medial del cóndilo humeral y la apófisis coronoides medial del cúbito
tienen una dirección oblicua, mientras que en el compartimento lateral, las superficies de contacto entre el proceso
lateral del cóndilo humeral y la cabeza del radio tienen una dirección horizontal.
De este modo, frente una fuerza vertical, el
proceso medial se desliza y el proceso lateral recibe toda la fuerza,
además puesto que está desplazado lateralmente del eje central del hueso, ante
un traumatismo siempre tiene más posibilidades de fracturarse el proceso
lateral.
El tratamiento indicado de las
fracturas condíleas es colocar un tornillo de tracción intercondíleo y también
una aguja anti rotacional, para luego estabilizar
la fractura supracondílea con 1 ó 2
agujas de Kirschner, e incluso con una placa.
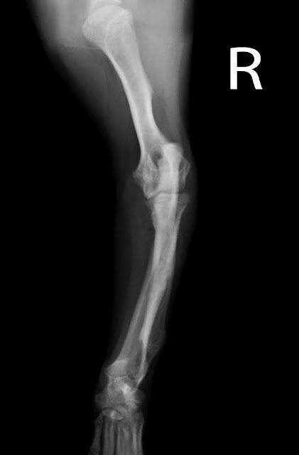
En este caso el paciente es un
cachorro de Labrador de poco más de tres meses y 11 kg que se cayó por las
escaleras de la casa y presenta una cojera de codo de su extremidad anterior
izquierda. Comenzamos la exploración radiográfica con una vista medio lateral
de la extremidad afectada y obtenemos la radiografía siguiente:
A pesar de todas las líneas de
crecimiento se puede apreciar una incongruencia en la articulación del codo, y
la otra vista nos permitirá precisar mejor el problema:
Aunque el posicionamiento del
codo esté ligeramente rotado, podemos concluir que el paciente presenta una
fractura del proceso lateral del cóndilo humeral, y como comentamos
anteriormente la solución a esta fractura debe ser mediante fijación interna
con agujas y tornillos.
En caso de no intervenirse,
habría una falsa cicatrización en una posición anómala, que produce una
incongruencia articular y el paciente sufriría una artrosis temprana.
Recientemente he atendido un perro con una antigua fractura de codo que no fue
intervenida y tenía una cojera con pérdida de rango articular, anquilosis y
dolor, de muy difícil solución. Tengo la radiografía de control y es muy
similar a la anterior, pero ese paciente tuvo la fractura un año atrás, y por
no haber sido intervenido, sólo volverá a articular bien el codo si se le pone
una prótesis.
Para que nuestro paciente no
llegase a esta situación fue intervenido quirúrgicamente, y se le puso un
tornillo intercondilar, una aguja antirrotacional, y dos agujas más en el
fragmento proximal. Veamos las radiografías de control:
En esta primera vista medio
lateral ya vemos que la congruencia articular del codo ha sido restablecida,
pero además tenemos la vista anteroposterior donde se puede apreciar mejor el
resultado de la cirugía.
Tras la cirugía conviene que el
paciente permanezca en reposo, con movilidad controlada y haciendo ejercicios
de rehabilitación para acelerar la cicatrización y la recuperación funcional de
la extremidad.
Puesto que se trataba de un
cachorro, la cicatrización fué muy rápida y al mes ya casi estaba consolidada
la fractura, pero como era un animal con alto potencial de crecimiento, se
esperó a los dos meses para que a pesar del importante incremento del peso que el
paciente tuvo en ese periodo (de 11kg pasó a 23 kg) pudiésemos asegurar que
estaba curado.
Tras ese periodo, en las
radiografías de control, obtenemos las siguientes imágenes:
En esta primera vista medio lateral podemos
comprobar que la congruencia articular del codo es adecuada, y la mayor parte
de las líneas de crecimiento que tenía el cachorro ya han ido cerrando, pero
como viene siendo habitual también hicimos la vista anterior, que confirma la
consolidación de la fractura, tal y como se aprecia en la siguiente imagen:












