Fractura de metacarpos
Las fracturas de metacarpos son frecuentes en cachorros que
saltan desde grandes alturas o que introducen una extremidad en el ángulo de
cierre de una puerta, y generalmente si se trata de fracturas aisladas de los
metacarpos centrales no suele hacerse casi nada pues los demás huesos sirven de
férula de sujeción pero el problema se agudiza si la fractura compromete a
todos los huesos de la mano.
Cuando todos los metacarpos de una extremidad están
fracturados las férulas son una opción simple, pero generalmente en esos casos
el paciente tardará mucho en cicatrizar, sufrirá bastante dolor, cojeará, y
cuando finalmente cicatrice los dedos no quedarán rectos.
Para evitar estos problemas, agilizar la cicatrización y
mejorar el resultado final se pueden colocar clavos intramedulares en animales
de tamaño pequeño ó incuso placas con
tornillos en animales de tamaño grande.
Nuestro paciente en esta ocasión es un cachorro de Pomerania
macho, de 4 meses y unos 4 kg que ha saltado desde un muro y cojea de su
extremidad anterior derecha.
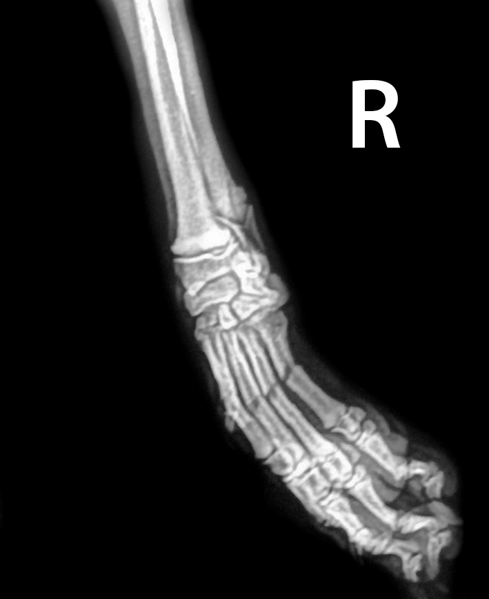
Al acudir a la clínica se le hace una primera radiografía y
nos encontramos con esta fractura:
Se trata de una fractura diafisaria transversa de los
metacarpos II, III, IV y V de su extremidad anterior derecha.
Como ya he
comentado al principio de artículo, en estos casos el tratamiento conservador
produce muchas complicaciones y los dueños aceptaron la solución quirúrgica.
Como puede apreciarse en la imagen anterior se le colocan 4
agujas intramedulares de 1,2 mm de diámetro para mantener la alineación de los
metacarpos.
Cinco semanas más tarde se le hace un control radiográfico:
La evolución está siendo buena, pero todavía no hay una
curación completa de las fracturas, por lo tanto se mantienen los implantes y
se le cita para un nuevo control radiográfico tres semanas más tarde.
En este control radiográfico a las ocho semanas se aprecia
que el cachorro ha cicatrizado ya las fracturas de los metacarpos, y es el
momento de retirar las agujas.
Una vez que se le retiraron definitivamente los
implantes se le dió el alta clínica.




