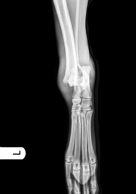
Fractura fisis distal
tibia, Salter Harris tipo II
El cierre de la fisis distal
de la tibia se produce en cachorros de razas grandes sobre los diez meses, y
durante ese período, cualquier traumatismo en tibia distal es susceptible de
provocar una fractura, que suele ser Salter Harris tipo II, es decir, es una
fractura no articular, de la fisis distal de la tibia y con un pequeño
fragmento hacia proximal.
En este caso, nuestro
paciente es un cachorro de Pastor Belga Malinois, de 5 meses, con 25 kg de peso
y extremadamente activo (típico de la raza) que se precipitó desde una ventana,
y viene con una cojera de no apoyo de su extremidad posterior izquierda.
Comenzamos con el estudio radiográfico y se obtienen las siguientes imágenes:
Como ya se ha comentado, se
trata de una fractura de la fisis distal de la tibia izquierda, Salter Harris
tipo II. En este tipo de fracturas el espacio para colocar implantes es mínimo
a nivel distal, por lo tanto no es fácil poner una placa de osteosíntesis y
todos los autores coinciden en que la resolución más adecuada es mediante
agujas de Kirschner.
Al principio puede resultar
extraño resolver una fractura en un perro de 25 kg, muy activo, y que sigue
creciendo, sólo con agujas, pero es cuestión de poner varias agujas, y mantener
al paciente encerrado en una jaula, para evitar ejercicios bruscos en fases
tempranas del proceso de cicatrización.
Veamos las radiografías
realizadas tras la intervención:
Como puede apreciarse, en
las imágenes anteriores, tras la reducción de la fractura se colocaron cinco
agujas de Kirschner de 1,8 mm de diámetro, para sujetar ese fragmento distal en
la posición fisiológica. El peroné está
bien alineado y los ligamentos del tarso, junto con el tendón de Aquiles,
también contribuyen a la estabilización del fragmento distal, y de toda la
extremidad.
Al mes de la cirugía se
repitieron las radiografías de control:
El hecho de que hubiera
aguantado un mes es positivo, pero hay que comprobar radiográficamente la
evolución interna de la fractura. Como puede apreciarse, el proceso de
cicatrización ha empezado a crear fibrosis y actividad osteogénica alrededor de
la fractura, pero en la segunda imagen vemos que el peroné todavía no ha
cicatrizado. (por eso es importante realizar las dos vistas radiográficas)
Continuamos con la
restricción de actividad del paciente, y a los dos meses repetimos los
controles radiográficos:
En esta ocasión si que
podemos afirmar que la fractura ha cicatrizado, aunque haya una pequeña
desviación hacia lateral, pero en un paciente tan inquieto, y con un control
post operatorio insuficiente en algunas ocasiones, es un resultado aceptable.
En este tipo de pacientes
tan inquietos, es muy importante que se pueda lograr un buen control post
operatorio, porque el animal no va a estarse quieto, y si los propietarios no
lo tienen encerrado en una jaula, sinó que lo dejan en una habitación, ó en un
pasillo, ó en un espacio demasiado grande, el perro va a forzar demasiado la
extremidad en fases tempranas de la cicatrización y puede ocurrir que se
produzca desde una ligera desviación de la extremidad hasta un total fracaso de
los implantes.
Suelo recomendar que metan
al paciente en una jaula, y lo saquen de paseo tres veces al día, con paseos a
paso lento, y de sólo cinco minutos cada vez. Aun así, hay estudios que estiman
que el paciente flexionará su extremidad unas 40.000 veces al día, que es una
cantidad altísima para un animal que está en reposo, e implica un gran desafío
para los implantes.







